



健康保険証を持参して受けることが可能な治療(負担金額は1割〜3割)
例)治療に1万円かかった場合、3割負担の患者さまでは3千円が負担金となります。
☆基本的には保険治療で大体の歯科治療を受けることができます。
しかし、保険治療では使用できる材料、薬剤、金属等に制限がありますので、より美しく、より快適にというのが中々困難なのが現状です。ですが一番の基本的な治療ですので、例えば、何らかの原因で歯を喪失した場合、まずは保険治療を受けていただき、問題点を模索し、それを補うような形で自費治療に移っていくのが最善かと思われます。









前歯等の虫歯には基本的に金属は使用しませんのでコンポジットレジンと呼ばれるプラスティック材料で治療します。
近年は材料の性質が向上していますが、材質がプラスティックなので継時的に変色し、また、咬耗、摩耗、歯ブラシの圧力などにより辺縁部が着色してくる場合があります。
臼歯部でもコンポジットレジン治療は保険がききますが、窩洞の形によってはお勧めできない場合もありますので詳しくはお尋ねください。
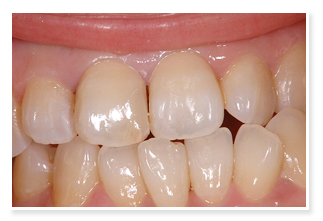
![]() |
![]() |
| 治療前 | 治療後 |
![]() |
|
| 虫歯の部分を取りました | |

患者さまに治療費のすべてを負担していただく治療です。
例えば、治療に1万円かかった場合、患者さまは1万円が負担金となります。
費用は掛かりますが、材料、薬剤、金属等に制限がございませんので、より美しく、より快適にという治療が可能となります。
インプラント、ホワイトニング、セラミック治療、特殊な薬剤を使用した歯周病治療、特殊な入れ歯等が自費治療の対象となります。
詳しくはお問い合わせください。

歯肉や歯を支えている顎の骨がダメージを受けることにより歯のグラつきや膿が出たりする病気です。
レントゲンによる診査や歯肉の検査を行った上でお口全体の治療計画をたて、病気の元になる部分(歯石など)をきれいにしていきます。
通常の保険治療から最新の技術を用いた方法まで患者様のご希望に添って治療を行っていきます。
歯周病とはいわゆる歯槽膿漏のことで、おもに歯肉と歯を支える歯槽骨の病気です。
原因としては細菌の塊である歯垢、歯石であり、これらが停滞することで細菌からの毒素がでて、歯肉が腫れ、骨が溶け、膿が出てきます。
すべての治療も歯周病の治療が基本で歯肉の状態が悪いのにいくらいい入れ歯や冠をいれても長持ちするはずはありません。
治療法としては、まず徹底的に歯垢・歯石を除去します。歯石は固いため専用の器具にて除去しますが、歯垢は日々の皆さんの歯ブラシによるところが極めて大きいのです。
正しいブラッシング法の理解と実践が最も重要です。
ですから、歯周病治療には、我々歯科医師・歯科衛生士と患者さん自身の協力が大事なことになります。
当歯科院長は大阪でも10数人しかいない、日本歯周病専門医です。より専門的な歯周病治療を行っていきます。

それでも歯が溶け、歯肉の深いところにある歯石は器具が届かず除去できません。
また、歯肉が腫れ不良な組織の増殖があります。
そこで、歯周病の歯肉の手術をおこない、これらを完全に除去します。
方法としては歯肉を切開し、直接歯石をみながら根の表面を除去し、滑沢にします。
そして不良組織を除去し、骨の形態を修正し、ブラッシングしやすい形態を造ります。最後は縫合して終了です。
このようなことを行い一通り治療が終了しても、そこで終わりではありません。ブラッシングが悪いとすぐ再発しやすいのがこの病気の特徴です。
定期的な観察とメンテナンスが必要であることを忘れないでください。

@初診時です。
歯垢、歯石が沈着し かなり歯肉が腫れています。
あまり痛くない程度に歯の清掃を行ないます。

A1週間後です。
一度歯の清掃を行っただけで、かなり歯肉の腫れが治まりました。
歯ブラシやデンタルフロスの使用法を習っていただきます。

B2週間後です。
引き続き歯の清掃を行って行きます。

C5週間後です。
歯の着色等も取りました。初診時に比べ歯肉が引き締まりました。
後はこの状態を保てるようにしていきます。


根を支える骨の吸収が見られない。

根の周りの骨が吸収し、溶けてしまっています。


重度の歯周病で前歯の前方への移動が起こっています。歯肉の炎症も見られます。

歯周治療後9年。歯肉の炎症もなく、良好な経過です。現在、半年に1回の定期検診を行っています。


|
「治療したのに歯がしみるのはなぜ?」と不安になる方がおられます。 どうぞ心配なさらないで下さい。 歯に侵された歯は、周りにひろがらないように虫歯の大きさより大きく削ります。 治療後の歯は、神経が近くなった分だけ口の中の刺激が神経にすぐ伝わります。 |
![]() |
これが、治療後歯がしみる理由です。 |
|
金属は熱を伝えやすい素材です。削ったあとに金属を詰めたり、被せたりすると、神経に近づいたところに金属の熱を伝えやすい性質が加わり、“冷たい熱い”の刺激が歯の神経にさらに伝わりやすくなります。
ところで、熱の伝わり方は金属によって異なります(熱伝導率の違い)。
どうしても歯がしみてつらい方は遠慮なくお申し出ください。
ふさわしい治療材料等、ご相談に応じます。

|
歯ブラシの力が強すぎると歯と歯肉の境目の表面(エナメル質)が削れて、中の象牙質が口腔内に露出することがあります。
また、歯周病などで歯肉が下がっても同様のことが起こります。 象牙質の中には象牙細管という小さな管があり、これは歯の神経(歯髄)と繋がっています。 ここに刺激が加わると簡単に象牙細管から歯髄に伝わり、痛みやしみる感じがでます。 これを知覚過敏といい、明らかな虫歯はありません。 中高年者に非常に多く見られる症状です。これに対しては様々な治療法があります。 |
![]() |
症状によっては非常に直りにくいことが多いようです。
知覚過敏になったからといってブラッシングを怠るとますます悪化していきます。
軟らかめの歯ブラシでぬるめの水を使ってブラッシングを行ってください。

| 歯がものすごく痛くなって来院して、診断の結果、抜歯が必要なことがあります。 そういう時は、痛みから解放されたくて抜いてくださいという思いでいっぱいでしょうし、私たちもどうにかしてあげたいと思うのですが、抜きたくても抜けないことが多いのです。 通常、体の組織は弱アルカリ性の状態です。 炎症が強くなると発痛物質が発生して痛みがでるのですが、その作用で痛みのある組織は酸性が強くなります。 酸性が強いと麻酔薬の作用が減少するため、このような部分に麻酔をしても効きにくいのです。 一般的には通常の1/5くらいの強さだと言われています。 そのため、抗生物質などで炎症を抑えて組織の環境を通常の弱アルカリ性の状態にしてから麻酔をして抜歯を行うのです。 |
![]() |

![]() |
義歯安定剤が必要な場合ということは、食事中あるいは話中に義歯が口の中で不安定になり噛めない、落ちてくるなどそのままでは安心して使えないからだと思います。 このようなときに短期的に市販の義歯安定剤を使うのはよいことだと思われます。 しかし、義歯と顎堤粘膜(歯肉の土手)が明らかに合わなくなってしまったものに長期間使用することは歯科的にみると正直好ましくありません。 それは、義歯安定剤を入れるたびに噛みあわせの位置が変わってしまい、本来の上下の義歯がしっかり噛み合う場所で義歯が安定してくれるとは限らないからです。 |
| さらにそのような状態で使用していると顎堤粘膜に変な力が加わってしまい、本来の状態に比較して異常吸収(顎が痩せてしまう)してしまう原因にもなりかねません。 ですから、そのような場合には「リライニング」といって義歯を新しく作り直さなくても、粘膜に傷などがなければその日のうちに裏打ちをすることが可能ですので、早めにお近くの歯科医院へいかれることをおすすめします。 |
|

![]() |
不幸にして突然転倒したり、事故にあったりなどの外傷が歯に加わった場合、歯が根っこから全部抜けてくることがあります。 その場合すぐに歯科医院に行くことは言うまでもありませんが、その抜けた歯はどうしたらいいのでしょうか? まず一番してはいけないことはその抜けた歯を乾燥させてしまうことです。 抜けてしまった歯肉や顎の骨の状態にもよりますが抜けた歯は再植といって再び戻すことが可能です。 しかし、歯が乾燥してしまった状態ではそれがうまくいかないことが非常に多いのです。 |
| ですから、抜けた歯はかならず湿潤させた状態で歯科医院に持ってきてください。 一番いいのは生理食塩水につけることです。これは人間の体液に非常に近いものだからです。 ただ、一般家庭にはまずありませんので、その場合よくいわれるのが牛乳につけることです。 歯の成分であるカルシウムが豊富ですので効果があります。 あと、なにもない場合は水でもかまいません。 もしも歯を入れる容器がないときは、その抜けた歯を口にくわえたまま来院してください。 えーっと思われる方も多いでしょうが、実はこの方法は非常に歯を保存するうえで有効なのです。 歯はもともと口の中にあるのですから、ある意味一番自然ですし、一番理想的な保管方法なのです あと注意することは歯についた泥などの汚れを洗い流しておくことは必要なのですが、根の部分を強くこすりすぎるのはやめてください。 根の表面には歯根膜という薄い膜があり、それがあることで再植してもまたくっつくのです。 強くこすってしまうと歯根膜がとれてしまうので、再植してもうまくいかないことが多いのです。 |
|