
![]()
歯が抜けてしまったところに義歯を植立する治療法です。
通常であればブリッジや入れ歯で義歯を使用しますが、インプラント治療では、人工的な歯の根っこを歯ぐきに植立して義歯を固定しますので、自分の歯と同じような感覚で噛むことができるようになります。1~2本抜けてしまった方は、ブリッジであれば両側の歯を少し削らなければなりませんが、インプラントは両側の歯に傷を付けなくて済みます。たくさん抜けてしまっている人でもインプラント治療は可能です。

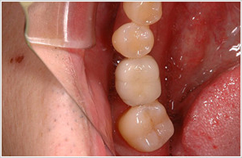
最初の状態、右下の奥から2番目の歯が欠損しています。


インプラントを埋入しました。


インプラントを埋入してから3か月後にポストコア(土台)を入れました。


ハイブリッドセラミックを装着しました。



治療は痛くありませんか?

麻酔をしますので治療中に痛むことは、ほとんどありません。
治療後も痛み止めを数回飲めば大丈夫な場合がほとんどです。
個人差がありますので何とも言えませんが、今までのところ、そんなに痛がられた患者さまはおられません。
治療の時間はどのぐらいかかりますか?

1回の治療時間は1時間ぐらいです。
治療期間は、上顎は約6か月、下顎は約3か月かかります。
インプラントの種類や処置する箇所によって異なります。
誰でもインプラント治療はできますか?

何か病気にかかっている方、一部の薬にアレルギーがある方、顎の骨に問題がある方などは、インプラント治療が受けられない場合もあります。
インプラントのメリットとデメリットは?

メリットはブリッジと違い、不必要に自分の歯を削らずに済むことです。また、入れ歯のように取り外しの必要もありませんので、噛む力が強くなること、残っている歯に必要以上の負担がかからなくなることです。
デメリットは、自費治療になるため、費用がかかってしまうことです。
いくらぐらいで治療ができますか?

骨の状態によりますが、1本あたり最低23万円程度はかかります。
料金表を参考にしてください。
インプラントはどのぐらい持ちますか?

日頃のブラッシングをきっちり行い、定期的に健診を受けることで、自分の歯と同様に長持ちします。通常であれば10年間で9割以上のインプラントが機能しています。
