
![]()

歯周病とはいわゆる歯槽膿漏のことで、おもに歯肉と歯を支える歯槽骨の病気です。
原因としては細菌の塊である歯垢、歯石であり、これらが停滞することで細菌からの毒素がでて、歯肉が腫れ、骨が溶け、膿が出てきます。
すべての治療も歯周病の治療が基本で歯肉の状態が悪いのにいくらいい入れ歯や冠をいれても長持ちするはずはありません。
治療法としては、まず徹底的に歯垢・歯石を除去します。歯石は固いため専用の器具にて除去しますが、歯垢は日々の皆さんの歯ブラシによるところが極めて大きいのです。
正しいブラッシング法の理解と実践が最も重要です。
ですから、歯周病治療には、我々歯科医師・歯科衛生士と患者さん自身の協力が大事なことになります。
当歯科院長は熊本でも10数人しかいない、日本歯周病専門医です。より専門的な歯周病治療を行っていきます。
それでも歯が溶け、歯肉の深いところにある歯石は器具が届かず除去できません。
また、歯肉が腫れ不良な組織の増殖があります。
そこで、歯周病の歯肉の手術をおこない、これらを完全に除去します。
方法としては歯肉を切開し、直接歯石をみながら根の表面を除去し、滑沢にします。
そして不良組織を除去し、骨の形態を修正し、ブラッシングしやすい形態を造ります。最後は縫合して終了です。
このようなことを行い一通り治療が終了しても、そこで終わりではありません。ブラッシングが悪いとすぐ再発しやすいのがこの病気の特徴です。
定期的な観察とメンテナンスが必要であることを忘れないでください。

① 初診時です。
歯垢、歯石が沈着し かなり歯肉が腫れています。
あまり痛くない程度に歯の清掃を行ないます。


② 1週間後です。
一度歯の清掃を行っただけで、かなり歯肉の腫れが治まりました。
歯ブラシやデンタルフロスの使用法を習っていただきます。


③ 2週間後です。
引き続き歯の清掃を行って行きます。


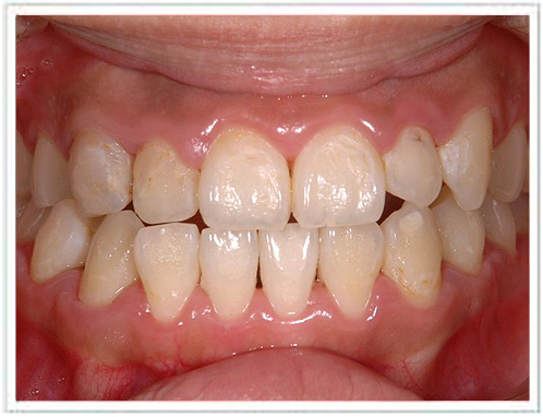
④ 5週間後です。
歯の着色等も取りました。初診時に比べ歯肉が引き締まりました。
後はこの状態を保てるようにしていきます。
![]()

根を支える骨の吸収が見られない。

根の周りの骨が吸収し、溶けてしまっています。
![]()

重度の歯周病で前歯の前方への移動が起こっています。歯肉の炎症も見られます。


歯周治療後9年。歯肉の炎症もなく、良好な経過です。現在、半年に1回の定期検診を行っています。
